学术前沿
- 首页 > 大会要闻
中国瓣膜(杭州) 2018|“高难度TAVR手术,你也可以做”——王建安团队演示经典TAVR手术全过程
2018-06-28为推动中国瓣膜事业的进一步发展,促进心脏瓣膜病介入诊疗的国际交流与合作,由浙江大学医学院附属第二医院和国际知名结构性心脏病大会CSI共同主办的第四届“China Valve(Hangzhou)”于2018年3月30日—4月1日在杭州黄龙饭店召开。浙江大学医学院附属第二医院王建安院长心脏瓣膜团队通过录播病例分步骤介绍临床评估、术前心超评估、术前CT测量分析、瓣膜团队讨论、手术演示等学习TAVR手术。该病例由王建安院长亲自完成。
该专场主席团成员包括首都医科大学附属北京安贞医院周玉杰教授、上海交通大学附属胸科医院何奔教授、蚌埠医学院第一附属医院王洪巨教授、中南大学湘雅医院余再新教授、中国医学科学院阜外医院赵世华教授、南方医科大学(原第一军医大学)第一附属医院许顶立教授、广西医科大学第一附属医院心血管内科黄凯教授、浙江大学医学院附属第二医院项美香教授等。
病例介绍
来自浙江大学医学院附属第二医院刘先宝教授对病例进行介绍,患者女,81岁。
病史及体征
CC:反复运动型胸闷和呼吸困难5个月;HPI:上行至二楼即出现胸闷、呼吸困难,晕厥,当地超声提示严重主动脉狭窄;PE:T 36.8℃,P 82次/min,R 14次/min,BP 117/72 mmHg,HR 82次/分,律齐,主动脉瓣听诊区可及4级收缩期杂音。
TTE确认AS严重性
● LVEF: 30%
● LA 5.47 cm LVEDd 6.05 cm
● Severe aortic stenosis
▷ AVA: 0.52 cm2
▷ Vmax: 4.3 m/s
▷ Mean gradient: 42 mm Hg
● Mild AR
● Severe MR
● Severe TR
Figure 1
TTE评估
术前评估
Katz日常生活能力评估(Katz Activities of Daily Living)以及独立生活能力评估(Independence in ambulation)评估结果均无特殊异常提示。Echo提示有严重收缩功能障碍;ECG结果见Figure 2;CCTA结果见Figure 3。
Figure 2
ECG结果
Figure 3
CCTA结果
主要器官系统评估结果显示:肺功能提示重度COPD,FEV1 49%;无严重肺动脉高压、终末期肾病、中枢神经系统功能障碍、胃肠道功能障碍、癌症,活动性恶性肿瘤、慢性肝病等。无气管造口术、严重钙化升主动脉、胸部畸形、胸部放疗术后。综合计算STS评分结果为6.7%。
来自浙江大学医学院附属第二医院的余蕾医师分享了超声方面的临床经验,心脏超声评估主要包括三个方面的内容,首先,对心脏瓣膜整体形态结构等进行测量,对主动脉瓣形态结构进行评价,判断是否为二叶式主动脉瓣畸形、测量瓣叶厚度、钙化部分是否均匀等。
其次,测量有效瓣口面积、最大跨瓣流速、平均跨瓣压差等进行评估瓣膜狭窄程度,通过放大模式清晰显示主动脉瓣结构,再通过血流动力学观察、判断主动脉瓣反流程度。
最后,对心脏整体功能进行评价,判断心功能,观察二尖瓣和三尖瓣的血流动力学,判断是否存在狭窄、反流,以及狭窄和反流的程度。另外,需评价心脏是否存在心包积液、肺动脉高压。
来自浙江大学医学院附属第二医院的何宇欣医师现场演示了TAVR患者术前CT的测量与分析。
通过对CT图像的三维重建及分析可以提供左心室流出道、主动脉瓣环、主动脉窦部、窦管交界及升主动脉多平面的尺寸(包括长径、短径、周长和面积),冠状动脉开口的高度及其与临近解剖结构的关系,及主动脉根部的钙化情况,指导人工瓣膜尺寸的选择、TAVR手术规划。同时CT扫描可以评估外周血管的内径、扭曲度、钙化等情况,指导手术入路的选择。通过准确的测量我们可以充分评估患者是否适合TAVR手术,并且人工瓣膜的尺寸选择及手术规划。MDCT评估结果见Figure 4~Figure 7。
Figure 4
CT评估主动脉瓣环及主动脉窦部
Figure 5
CT评估钙化形态及分布
Figure 6
CT评估冠脉开口高度及瓣环角度
Figure 7
CT评估股动脉入路
瓣膜团队讨论
浙江大学医学院附属第二医院由心内、心外、超声、放射、麻醉、护理等多学科组成的心脏瓣膜团队近年来积累了丰富的临床实践经验,来自外科的孔敏坚教授、麻醉科的何伟教授、放射科的周琦晶医师、导管室程继芳护士长等分别分享了各自科室在术前、术中及术后应注意的事宜。
严重的AS应行SAVR还是TAVR?
2017版AHA/ACC心脏瓣膜病患者的管理(更新版)建议,在心脏瓣膜小组评估后,建议高危的严重症状性主动脉瓣狭窄(阶段D)患者接受外科手术AVR(SAVR)或TAVR治疗(Class I);在心脏瓣膜小组评估后,对于中危的严重症状性主动脉瓣狭窄(阶段D)患者,TAVR是SAVR的合理替代方案(Class IIa)。
Summary
临床中常用的辅助检查主要包括:心超、心电图、CT (血管入路+主动脉瓣根部)、肺功能、外周血管B超(双下肢动静脉、颈动脉)、冠脉造影or CCTA。实验室检查:三大常规、大生化、肿标、心肌酶谱、凝血谱、NT-proBNP。同时,可根据实际情况增加检查项目:如头颅磁共振等。最后,经心脏瓣膜团队讨论选择行TAVR手术治疗,并制定手术方案。
手术过程
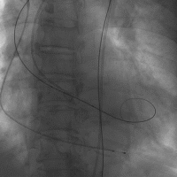
刘先宝教授代替王建安院长分享了手术过程,首先,应进行心电图检测、动脉穿刺、临时起搏器植入、导尿管等准备工作。开始手术后,第一步应在对侧进行股动脉穿刺,然后植入保护导丝,选用JR 3.5X4.0,在造影图的情况下在手术侧进行精准穿刺,保证穿刺在血管正中央,尽可能减少血管并发症的发生。并进行血管闭合器预埋,左右岔开20°左右。随后置入大鞘,注意动作轻柔。(Figure 8)
Figure 8
1. 右侧股动脉穿刺
2. 置入大鞘
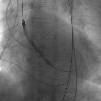
然后进行主动脉根部造影,导丝跨瓣,并进行术前测压评估(Figure 9)。选用大小合适的球囊,进行球囊扩张,评估瓣环上结构,指导选择瓣膜尺寸,这对钙化严重的二叶瓣畸形的患者尤其重要。(Figure 10)
Figure 9
术前测压
Figure 10
3. 主动脉根部造影
4. 导丝跨瓣
5. 测压
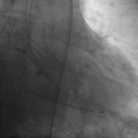
评估瓣环上结构后,选择合适尺寸的人工瓣膜(本病例植入VitaFlow™ 瓣膜),然后进行瓣膜置入及释放。瓣膜释放过程中需要团队精密的合作,第一术者和第二术者一前一后密切配合,控制手柄一步步释放,保证瓣膜良好的植入深度。瓣膜释放约四分之三,在人工瓣叶发挥功能后,进行造影,观察瓣膜位置是否恰当,然后完全释放。(Figure 11)
Figure 11
6. 球囊扩张评估瓣环上结构
7. 置入人工瓣膜
8. 置入人工瓣膜
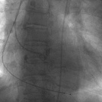
最后再次测量跨瓣压差(Figure 12),提示压差较术前显著改善,然后进行主动脉根部造影,提示瓣膜位置理想和形态良好,无明显瓣膜漏。并进行股动脉造影,观察有误血管并发症。(Figure 13)
Figure 12
术后测压
Figure 13
9. 造影结果
10. 股动脉造影
总 结
最后,周玉杰教授总结表示,整个手术操作都非常规范,良好的开端是成功的一半,该手术结果非常令人满意。王洪巨教授表示,手术的安全性和有效性至关重要,市场推广TAVR能使更多患者受益,TAVR与PCI相比,更需要团队支持,希望我们介入医师与外科医师、麻醉科医师、护士、重症监护等密切合作。



