学术前沿
- 首页 > 大会要闻
王建安:如何改善行TAVR患者严重呼吸道并发症
2018-06-16目前慢性阻塞性肺疾病(chronic obstructive pulmonary disease, COPD)居全球死亡原因的第4位。我国的流行病学调查表明,40岁以上人群COPD患病率极高,为8.2%。COPD患者在心脏手术后发生呼吸相关性并发症的风险更高。目前对于主动脉瓣病变的COPD患者,经导管主动脉瓣置换术(TAVR)和外科主动脉瓣置换术(SAVR)孰优孰劣尚不明确。2018年4月1日发表于JAHA 的研究结果显示,对于慢性阻塞性肺疾病患者,TAVR术后并发症发生率要明显低于SAVR,TAVR可能是个更好的选择。中华医学会心血管病学分会副主任委员、浙江大学医学院附属第二医院王建安院长于近期举办的相关学术会议期间,分享了严重呼吸道并发症患者行TAVR方面的宝贵经验。
背 景
COPD发病机制如Figure 1所示,行TAVR患者中14.2~43.4%患者有不同程度COPD,COPD是TAVR患者人群院内及长期死亡率的独立风险预测因子。COPD影响主动脉瓣狭窄患者采用不同治疗策略的临床预后,肺部并发症是影响发病率、死亡率以及住院时长的主要因素。
Figure 1
COPD发病机制
术后肺部并发症(post-operative pulmonary complications,PPCs)风险因素主要包括术中相关因素以及患者相关因素,术中相关因素主要包括手术部位、手术时长、麻醉技术、手术紧急情况等。
严重呼吸道并发症(severe respiratory comorbidities)患者行TAVR管理策略方面主要包括最佳药物治疗、术前呼吸肌训练、全麻优化通气、必要时局麻。
优化通气条件
建议在术中及术后优化通气条件,术中通气模式主要是采取压力控制的换气设备,气流小于6~8 ml/kg,I/E为1:3~1:4,PEEP为初始值5 cm H2O;术后建议尽早启动有创机械通气(invasive mechanical ventilation,IMV),早期拔管+无创正压通气(non-invasive positive pressure ventilation,NIPPV)。
病例分享
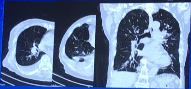
王建安院长分享了两个病例。病例一:患者女,74岁。劳力性呼吸困难10年,阵发性夜间呼吸困难,NYHA Ⅳ级。PMH提示为COPD,2型呼吸衰竭,肺动脉高压。STS风险评分为8.68%。肺功能测试结果提示不耐受。PO2 62.4 mm Hg,PCO2 60.3 mm Hg,pH 7.399,BE 9.8 mmol/L,乳酸 1.2 mmol/L,影像学评估如Figure 2所示。
Figure 2
影像学评估
术前采取最佳药物治疗策略以及IMT,经股动脉行TAVR,进行局麻,采用29 mm Taurus瓣膜。临床预后方面,TAVR术后7天出院,30天随访显示为NYHA Ⅲ级。
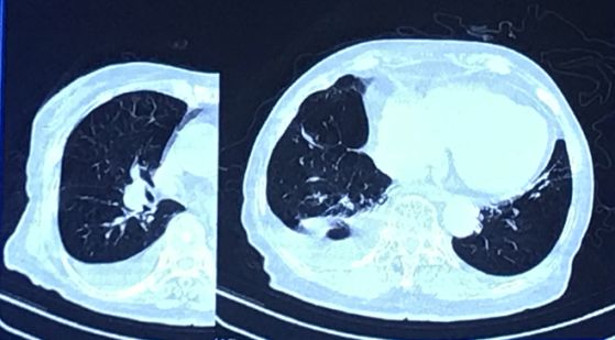
病例二:患者男,79岁。阵发性呼吸困难3年,2周内加重。超声提示存在严重主动脉瓣狭窄以及主动脉瓣反流,NYHA Ⅳ级。存在HTN、DM、COPD以及CKD stage Ⅲ并发症。STS:13.3%,Log EuroScore:35.3%,心脏团队建议行TAVR,CTA结果见Figure 3。
Figure 3
CTA结果
该病例建议进行局部麻醉镇静,选择最佳药物治疗以及高躺位。植入32 mm的VEUNS A瓣膜(Figure 4),无鞘植入策略方面,推荐首先尝试16F cook sheath。采取左髂股动脉入路,右桡动脉穿刺。
Figure 4
植入VEUNS A瓣膜
1个月后随访结果显示,症状明显缓解,无夜间阵发性呼吸困难。NYHA改善为Ⅱ~Ⅲ级。超声显示,AVA 1.93 cm2,Vmax 2.12 m/s,PG mean 10 mm Hg;LVEDD 5.66 cm,LA 4.42 cm,LVEF 54%;无严重人工瓣膜瓣周漏。
总 结
严重呼吸道并发症在行TAVR患者中普遍存在,可影响短期和长期生存率。管理方面,建议进行术前最佳药物治疗、术前呼吸肌训练、全麻优化通气、必要时局麻。



